الورم الدبقي عالي الدرجة

الأورام الدبقية هي أورام تصيب الجهاز العصبي المركزي، الذي يتكوَّن من الدماغ والحبل الشوكي. غالبًا ما تظهر هذه الأورام في الدماغ أكثر من الحبل الشوكي. يتم تصنيف الأورام الدبقية حسب مُعَدَّل نموها وغزو الأنسجة الأخرى. تُعتبر الدرجة الأولى والثانية درجات مُنخفضة، في حين تُعتبر الدرجة الثالثة والرابعة درجات عالية. الدرجة الرابعة هي الأكثر عدوانية، كونها الأسرع نُمُوًا والأكثر توغُّلاً.
ما الذي يُسَبِّب الورم الدبقي عالي الدرجة؟
عادةً ما تتطوَّر الأورام الدبقية عالية الدرجة من الأورام الدبقية ذات الدرجة المنخفضة؛ ومع ذلك، فإنها يمكن أن تحدث أيضًا بشكل عفوي. تحدث الأورام الدبقية بسبب تغيُّرات أو طفرات في الحمض النووي للخلايا الدبقية. لا يزال يتعيَّن اكتشاف الآلية الدقيقة لهذه التغييرات، على الرغم من معرفة بعض عوامل الخطر.
ارتبطت الأورام الدبقية بالتعرض لأنواع مُعَيَّنة من الإشعاع. ولم تُظهِر أفران الميكروويف وخطوط شبكة الكهرباء أي ارتباط بشكل قاطع. وقد تم أيضًا تورُّط بعض السموم. العمر المُتقدم، والعِرق الأبيض، والجنس الذكري، والتاريخ العائلي للورم الدبقي يمكن أن يزيدوا أيضًا من خطر الإصابة بالورم الدبقي.
علامات وأعراض الورم الدبقي عالي الدرجة
الأورام الدبقية عالية الدرجة ومنخفضة الدرجة لديها القدرة على التسبب في نفس الأعراض؛ ومع ذلك، قد تكون الأعراض الناتجة عن الأورام الدبقية عالية الدرجة أكثر وضوحًا أو تقدمية. عندما تُؤَثِّر الأورام الدبقية على الدماغ، فإنها يمكن أن تُسبِّب:
- الصداع
- النوبات، أو زيادة النوبات لدى المرضى الذين يعانون من اضطرابات النوبات
- استفراغ و غثيان
- صعوبة في التفكير أو التذكُّر
- التهيُّج أو تغيُّرات أخرى في الشخصية
- مشاكل في التوازن
- سلس البول
- صعوبة في التحدث
ما الذي يدفعك لإجراء عمليتك مع الدكتور كوهين؟
الدكتور كوهين
- أكثر من 7000 جراحة مُتخصصة قام بإجرائها بعد أن وَقع اختيارك عليه
- ستجد المزيد من الرعاية الشخصية
- خبرة واسعة = معدل نجاح أعلى وأوقات تعافٍ أسرع
المراكز الصحية الرئيسية
- لا تتحكم في اختيار الجراح الذي يعتني بك
- رعاية عامة للجميع
- التركيز على عدد قليل من التخصصات
لمزيد من الأسباب، يُرجى النقر هنا.
كيف يتم تشخيص الأورام الدبقية؟
كما هو الحال في العديد من مجالات الطب، فإن الخطوة الأولى في التشخيص هي التاريخ الدقيق والفحص البدني. أثناء زيارتك، سيطرح عليك الطبيب عدة أسئلة حول العلامات والأعراض، والتَعرُّضات البيئية المحتملة، والتاريخ العائلي. بعد ذلك، سيقوم بإجراء فحص بدني، مع التركيز على الوظيفة العصبية.
إذا اشتبه طبيبك في وجود ورم في الجهاز العصبي، فقد يطلب منك إجراء مجموعة من اختبارات الدم، والأشعة المقطعية (CT)، والتصوير بالرنين المغناطيسي (MRI)، وغيرها من الاختبارات ذات الصلة.

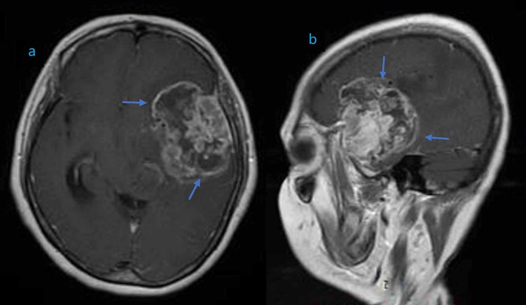
صورة 1: يُظهر هذا التصوير بالرنين المغناطيسي وجود ورم دبقي عالي الدرجة في الفص الصدغي والجبهي الأيسر.
إذا تم العثور على ورم، فسيتم إحالتك إلى جراح مخ وأعصاب الذي سيحدد بعد ذلك نوع وطبيعة الورم من خلال خزعة (خزعة تجسيمية) أو استئصال (إزالة جراحية) الورم عن طريق عملية جراحية لفتح عظم الجمجمة المعروفة باسم حج القحف . يتضمَّن إجراء الخزعة إزالة جزء صغير من الورم للتشخيص فقط. يتم إرسال عينة الخزعة إلى مُختبر عِلم الأمراض، حيث سيقوم طبيب آخر، يُسمَّى أخصائي علم الأمراض، بفحصها تحت المجهر. بعد معرفة طبيعة الورم، يمكنك أنت وطبيبك وضع استراتيجية علاجية. أثناء حج القحف من أجل الاستئصال، يحاول جراح المخ والأعصاب إزالة مُعظم الورم بأمان.
علاج الورم الدبقي عالي الدرجة
تؤثر العديد من العوامل على استراتيجيات علاج الأورام الدبقية عالية الدرجة. تُعَد الجراحة طريقة شائعة للعلاج وقد ثبت أنها تُحَسِّن النتائج في بعض الحالات. يمكن استخدام العلاج الإشعاعي والكيميائي بمفردهما أو بالإضافة إلى الجراحة. يمكن للإشعاع أن يمنع الورم من النمو، وفي بعض الحالات، يؤدي إلى تقليص بعض الأورام. يتم توجيه حِزَم الإشعاع المُرَكَّزة إلى الورم لفترة زمنية قصيرة (من 5 إلى 15 دقيقة) على مدار عِدَّة زيارات. قد يكون العلاج الكيميائي عن طريق الفم أو عن طريق الوريد ويُوَفِّر طريقة أخرى لتقليل نمو الورم.
يمكن إعطاء تيمودار (تيموزولوميد) قبل العلاج الإشعاعي لزيادة استجابة الورم للإشعاع. وغالبًا ما يتم أخذه عن طريق الفم مرة واحدة يوميًا. قد يصف طبيبك أدوية أخرى معه لمنع الغثيان. غالبًا ما يتم إعطاء أفاستين (بيفاسيزوماب) عن طريق الوريد كل أسبوعين. وهو يعمل على منع نمو الأوعية الدموية الجديدة التي يحاول الورم إنتاجها أثناء غزو الأنسجة السليمة.
ما هي توقعات التعافي للورم الدبقي عالي الدرجة؟
تختلف مُعَدَّلات البقاء على قيد الحياة للمرضى الذين يعانون من الأورام الدبقية عالية الدرجة ويمكن أن تعتمد على عدة عوامل. يمكن للمرضى الذين يعانون من ورم دبقي قليل التغصُّن وأورام نجمية مُعَيَّنة أن يعيشوا لسنوات، في حين أن متوسط العمر المتوقع للمرضى الذين يعانون من ورم أرومي دبقي أقصر بكثير. لسوء الحظ، ليس من غير المألوف أن يبقى المرضى الذين يعانون من الورم الأرومي الدبقي على قيد الحياة لمدة عشرة أشهر أو أقل فقط. حالة كل مريض فريدة من نوعها، وينبغي تجنب الإفراط في التعميم. ينبغي مُناقشة خطة العلاج وتوقعات التعافي لحالتك الفردية مع جرّاح المخ والأعصاب الخاص بك. يُرجى البحث عن جراحين ذوي خبرة وفرق مُتعدِّدة التَخصُّصات لضمان علاجات فعّالة.