الأورام الدبقية قليلة التغصُّن
- ما هي الأورام الدبقية قليلة التغصُّن؟
- ما هي علامات وأعراض الأورام الدبقية قليلة التغصُّن؟
- هل الأورام الدبقية قليلة التغصُّن سرطانية؟
- ما الذي يُسبِّب الورم الدبقي قليل التغصُّن؟
- ما هي مُعَدَّلات البقاء على قيد الحياة؟
- كيف يتم تشخيص الورم الدبقي قليل التغصُّن؟
- كيف يتم علاج الأورام الدبقية قليلة التغصُّن؟
- الموارد

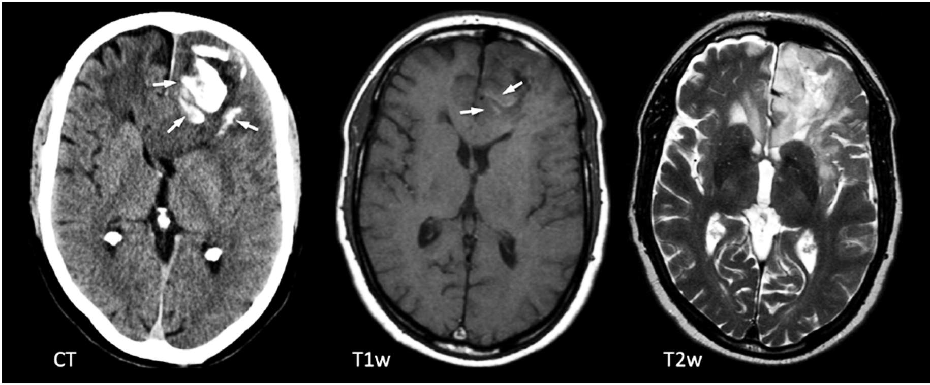
صورة 1: يُظهر الأشعة المقطعية (يسار) والتصوير بالرنين المغناطيسي (صورتان على اليمين) تكلسات (أسهم) على التصوير المقطعي في الفص الجبهي الأيسر، وهي سمة مُمَيِّزة جدًا للأورام الدبقية قليلة التغصُّن.
ما هي الأورام الدبقية قليلة التغصُّن؟
الأورام الدبقية قليلة التغصُّن هي كتل أو أورام تَنتُج عن فرط نمو خلايا مُعيّنة، تُسمّى الخلايا الدبقية قليلة التغصُّن، في الدماغ بشكل أساسي. الخلايا الدبقية قليلة التغصُّن هي خلايا تُشكِّل أغلفة عازِلة حول الخلايا العصبية في الجهاز العصبي المركزي (الدماغ والحبل الشوكي). ويتكوَّن هذا العزل من مادة تُسمّى المايلين، والتي تُساعد على زيادة سرعة انتقال الإشارات الكهربائية على طول الأعصاب.
ما هي علامات وأعراض الأورام الدبقية قليلة التغصُّن؟
النوبات هي العرض الأكثر شيوعًا للمرضى الذين يعانون من الأورام الدبقية قليلة التغصُّن. قد يكون لدى العديد من المرضى تاريخ من النوبات لعدة سنوات قبل التشخيص. غالبًا ما ترتبط الأعراض الأخرى بضغط الورم على هياكل مُعيَّنة داخل الدماغ وتشمل:
- الصداع
- دوار
- استفراغ و غثيان
- مشاكل في الذاكرة
- التغيُّرات الشخصية والسلوكية
- صعوبة في الكلام
- صعوبة في التوازن والحركة
- ضعف الأطراف
- خدر ووخز
هل الأورام الدبقية قليلة التغصُّن سرطانية؟
هناك درجتان حسب مقياس منظمة الصحة العالمية (WHO) للأورام الدبقية قليلة التغصُّن: 1) الدرجة الثانية (درجة مُنخفضة)، 2) الدرجة الثالثة (درجة عالية). غالبًا ما تكون الدرجة الثانية بطيئة النمو وتُعتبر حميدة نِسبيًا. تَنمو الدرجة الثالثة (الورم الدبقي الكشمي قليل التغصُّن) بسرعة أكبر ويغزو الأنسجة السليمة المحيطة، مما يجعله ورمًا خبيثًا (سرطانيًا).
ما الذي يدفعك لإجراء عمليتك مع الدكتور كوهين؟
الدكتور كوهين
- أكثر من 7000 جراحة مُتخصصة قام بإجرائها بعد أن وَقع اختيارك عليه
- ستجد المزيد من الرعاية الشخصية
- خبرة واسعة = معدل نجاح أعلى وأوقات تعافٍ أسرع
المراكز الصحية الرئيسية
- لا تتحكم في اختيار الجراح الذي يعتني بك
- رعاية عامة للجميع
- التركيز على عدد قليل من التخصصات
لمزيد من الأسباب، يُرجى النقر هنا.
ما الذي يُسبِّب الورم الدبقي قليل التغصُّن؟
كما هو الحال مع مُعظم أنواع الأورام، يُعتقد أن الورم الدبقي قليل التغصُّن ينجم عن جينات غير طبيعية داخل الخلايا السرطانية. كيفية نشأة هذه التشوُّهات غير واضحة، على الرغم من أن الإشعاعات المؤينة لها دور في ذلك. يمكن أن يؤدي التاريخ العائلي للأورام الدبقية قليلة التغصُّن إلى مضاعفة خطر حدوث الورم. تتراوح أعمار معظم المرضى بين 35 و44 عامًا عند التشخيص. هذه الأورام نادرة عند الأطفال. وهي أكثر شيوعًا في الرجال من النساء.
ما هي مُعَدَّلات البقاء على قيد الحياة؟
بشكل عام، ما يقرب من 75٪ من المرضى يبقون على قيد الحياة مع الأورام الدبقية قليلة التغصُّن بعد 5 سنوات. هناك عدة عوامل تُؤثِّر على توقعات التعافي لكل فرد. تشمل هذه العوامل درجة الورم، وسمات الورم الأخرى المتعلقة بمعدل نمو الورم والتي يمكن رؤيتها عند فحص عينة الخزعة تحت المجهر، وعمر المريض، والصحة العامة عند التشخيص، والاستجابة للعلاج. مدى الإزالة أثناء الجراحة تلعب دورًا مهمًا أيضًا في توقعات التعافي.
كيف يتم تشخيص الورم الدبقي قليل التغصُّن؟
بعد دراسة التاريخ الشامل والفحص البدني، يمكن لتصوير الدماغ والحبل الشوكي تحديد الأورام المُحتملة. غالبًا ما يتم استخدام الأشعة المقطعية (CT) والتصوير بالرنين المغناطيسي (MRI) لتحديد حجم الورم وموقعه. تَستخدِم الأشعة المقطعية سلسلة من الأشعة السينية لإنشاء صورة مُتعدِّدة الأبعاد للدماغ. يَستخدِم التصوير بالرنين المغناطيسي المجالات المغناطيسية بدلاً من الإشعاع لإنشاء صورة مُماثلة للورم.
قد تكون دراسات التصوير الأخرى ضرورية في حالة الاشتباه في وجود ورم متكرر، ويجب التفرقة بين التغيُّرات بعد الإشعاع والنمو الحقيقي للورم.
كيف يتم علاج الأورام الدبقية قليلة التغصُّن؟
- الجراحة هي خيار العلاج الأول والأكثر فعالية خاصةً عندما يضغط الورم على أجزاء من الدماغ ويُسبِّب الأعراض. في المرضى الذين لا يعانون من أعراض، تعمل الجراحة أيضًا على تحسين مدة البقاء على قيد الحياة بشكل عام. يتم تَوَخّي الحذر لتجنُّب تلف الهياكل المُجاورة أثناء الجراحة، وتقليل خطر حدوث مُضاعفات.
- تَستجيب معظم الأورام الدبقية قليلة التغصُّن بشكل جيد للعلاج الكيميائي . تتضمن أمثلة نظام العلاج الكيميائي الشائع عن طريق الفم مزيجًا من:
- الماتولين (بروكاربازين) الذي يعمل على إبطاء إنشاء الحمض النووي (DNA)، والحمض النووي الريبوزي (RNA)، والبروتين في الخلايا السرطانية.
- جلوستين (لوموستين) الذي يمنع تكرار الحمض النووي في الخلايا السرطانية ويمنع انقسام الخلايا الجديدة.
- أونكوفين (فينكريستين) الذي يمنع تكاثر الخلايا السرطانية ويُسبِّب موت الخلايا السرطانية.
- تيمودار (تيموزولوميد) الذي يمكن إعطاؤه عن طريق الفم أو عن طريق الوريد. وهو يعمل عن طريق الالتصاق بالحمض النووي مما يسبب تدمير الخلايا السرطانية. قد يكون تيموزولوميد مفيدًا بشكل خاص في الأورام الدبقية قليلة التغصُّن عالية الدرجة والمُتكرِّرَة.
- لا تزال فعالية العلاج الإشعاعي قيد التقييم ولكنها قد تُوفِّر أيضًا بعض المزايا. يجب النظر بعناية في الآثار الجانبية المُرتبطة بالعلاج الإشعاعي، بما في ذلك الأضرار المُحتملة للهياكل القريبة.
يمكن أن تكون استراتيجيات علاج الأورام الدبقية قليلة التغصُّن مُعقَّدة. غالبًا ما تكون هذه الخطط فردية وتعتمد على حالة المريض الخاصة ويتم صياغتها بواسطة فريق رعاية شامل يتكون من مُمَثّلين عن جراحة المخ والأعصاب، والأورام، وطب الأعصاب.