Oligodendroglioma

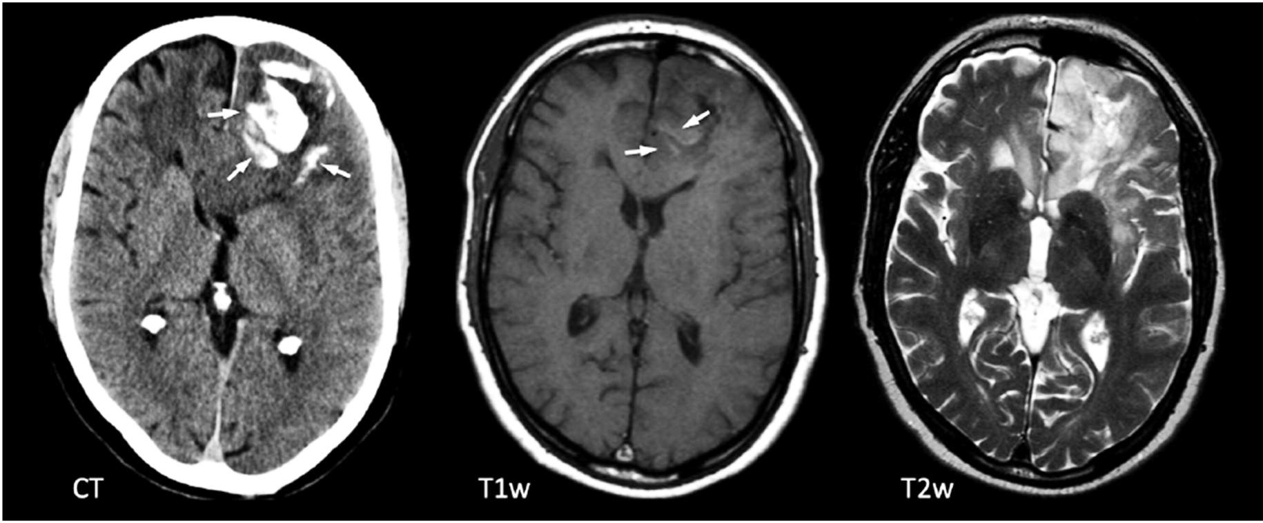
Figura 1: TC (izquierda) y RM (2 imágenes de la derecha) muestran calcificaciones (flechas) en TC en el lóbulo frontal izquierdo, muy características de un oligodendroglioma.
¿Qué es el oligodendroglioma?
Los oligodendrogliomas son masas o tumores causados por el crecimiento excesivo de ciertas células, llamadas oligodendrocitos, principalmente en el cerebro. Los oligodendrocitos son células que forman vainas aislantes alrededor de las células nerviosas del sistema nervioso central (cerebro y médula espinal). Este aislamiento se produce con una sustancia llamada mielina, que ayuda a aumentar la velocidad a la que se transmiten las señales a lo largo de los nervios.
¿Cuáles son los signos y síntomas del oligodendroglioma?
Las convulsiones son el síntoma de presentación más común en pacientes con oligodendrogliomas. Muchos pacientes pueden tener antecedentes de convulsiones durante varios años antes del diagnóstico. Otros síntomas a menudo se asocian con la presión del tumor sobre ciertas estructuras dentro del cerebro e incluyen:
- Dolores de cabeza
- Vértigo
- Náuseas y vómitos
- Problemas de memoria
- Cambios de personalidad y comportamiento.
- Dificultad del habla
- Dificultad con el equilibrio y el movimiento.
- Debilidad de las extremidades
- Entumecimiento y hormigueo
¿Es cáncer el oligodendroglioma?
Hay dos grados de oligodendrogliomas de la Organización Mundial de la Salud (OMS): A) Grado II (grado bajo), B) Grado III (grado alto). El grado II suele tener un crecimiento lento y se considera relativamente benigno. El grado III (oligodendroglioma anaplásico) crece más rápidamente e invade el tejido sano circundante, volviéndolo maligno (canceroso).
¿Por qué deberías operarte con el Dr. Cohen?
Dr. Cohen
- Más de 7000 cirugías especializadas realizadas por el neurocirujano elegido
- Tratamiento más personalizado
- Gran experiencia=tasa de éxito más alta y tiempos de recuperación más rápidos
Centros de salud principales
- No tiene control sobre la elección del cirujano que le trata
- Tratamiento de talla única (una misma talla o medida para todos)
- Menos especialización
Para más motivos, por favor haga click aquí.
¿Qué causa tiene el oligodendroglioma?
Como la mayoría de los tipos de tumores, se cree que el oligodendroglioma es causado por genes anormales dentro de las células tumorales. No está claro cómo surgen estas anomalías, aunque se ha implicado la radiación ionizante. Los antecedentes familiares de oligodendroglioma pueden duplicar el riesgo de un diagnóstico. La mayoría de los pacientes tienen entre 35 y 44 años en el momento del diagnóstico. Estos tumores son raros en los niños. Se encuentran más comúnmente en hombres que en mujeres.
¿Cuáles son las tasas de supervivencia?
En general, aproximadamente el 75% de los pacientes sobreviven al oligodendroglioma después de 5 años. Varios factores afectan al pronóstico de cada individuo. Estos factores incluyen el grado del tumor, otras características del tumor relacionadas con la tasa de crecimiento del tumor que son visibles al inspeccionar una muestra de biopsia bajo el microscopio, la edad y el estado de salud general del paciente en el momento del diagnóstico, y la respuesta al tratamiento. El alcance de la extirpación durante la cirugía también es importante en el pronóstico.
¿Cómo se diagnostica el oligodendroglioma?
Después de una anamnesis y un examen físico completos, las imágenes del cerebro y la médula espinal pueden identificar posibles tumores. La tomografía computarizada (TC) y la resonancia magnética (RM) a menudo se utilizan para identificar el tamaño y la ubicación del tumor. Las tomografías computarizadas utilizan una serie de rayos X para crear una imagen multidimensional del cerebro. La resonancia magnética utiliza campos magnéticos en lugar de radiación para crear una imagen similar para su evaluación.
Es posible que se necesiten otros estudios de imágenes si se sospecha un tumor recurrente y es necesario diagnosticar un cambio posradiación versus un tumor verdadero.
¿Cómo se trata el oligodendroglioma?
- La cirugía es la primera y más valiosa opción de tratamiento, especialmente cuando un tumor presiona partes del cerebro y causa síntomas. En pacientes asintomáticos, la cirugía también mejora la supervivencia general. Se tiene cuidado para evitar daños a las estructuras cercanas durante la cirugía y minimizar el riesgo de complicaciones.
- La mayoría de los oligodendrogliomas responden bien a la quimioterapia. Ejemplos de un régimen de quimioterapia oral común incluyen una combinación de:
- Matulane (procarbazina) ralentiza la síntesis de ADN, ARN y proteínas en las células tumorales.
- La gleostina (lomustina) bloquea la replicación del ADN en las células tumorales y previene la nueva división celular.
- Oncovin (vincristina) previene la replicación de las células tumorales y provoca la muerte de las células tumorales.
- Temodar (temozolamida) se puede administrar por vía oral o intravenosa. Funciona uniéndose al ADN provocando la destrucción de las células tumorales. La temozolomida puede ser particularmente útil en oligodendrogliomas recurrentes y de alto grado.
- La eficacia de la radioterapia aún está bajo evaluación, pero también puede proporcionar algunas ventajas. Se deben considerar cuidadosamente los efectos secundarios asociados con la radioterapia, incluido el daño potencial a las estructuras cercanas.
Las estrategias de tratamiento para los oligodendrogliomas pueden ser complejas. Estos planes suelen ser altamente individualizados y elaborados por un equipo de atención integral compuesto por representantes de neurocirugía, oncología y neurología.